治療例CASE

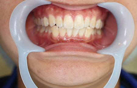
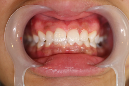
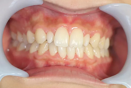
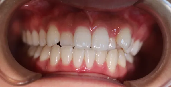
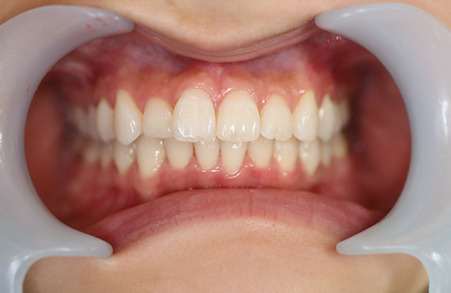
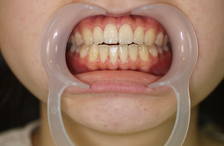
1矯正・マウスピース【治療例1】

治療前
治療後

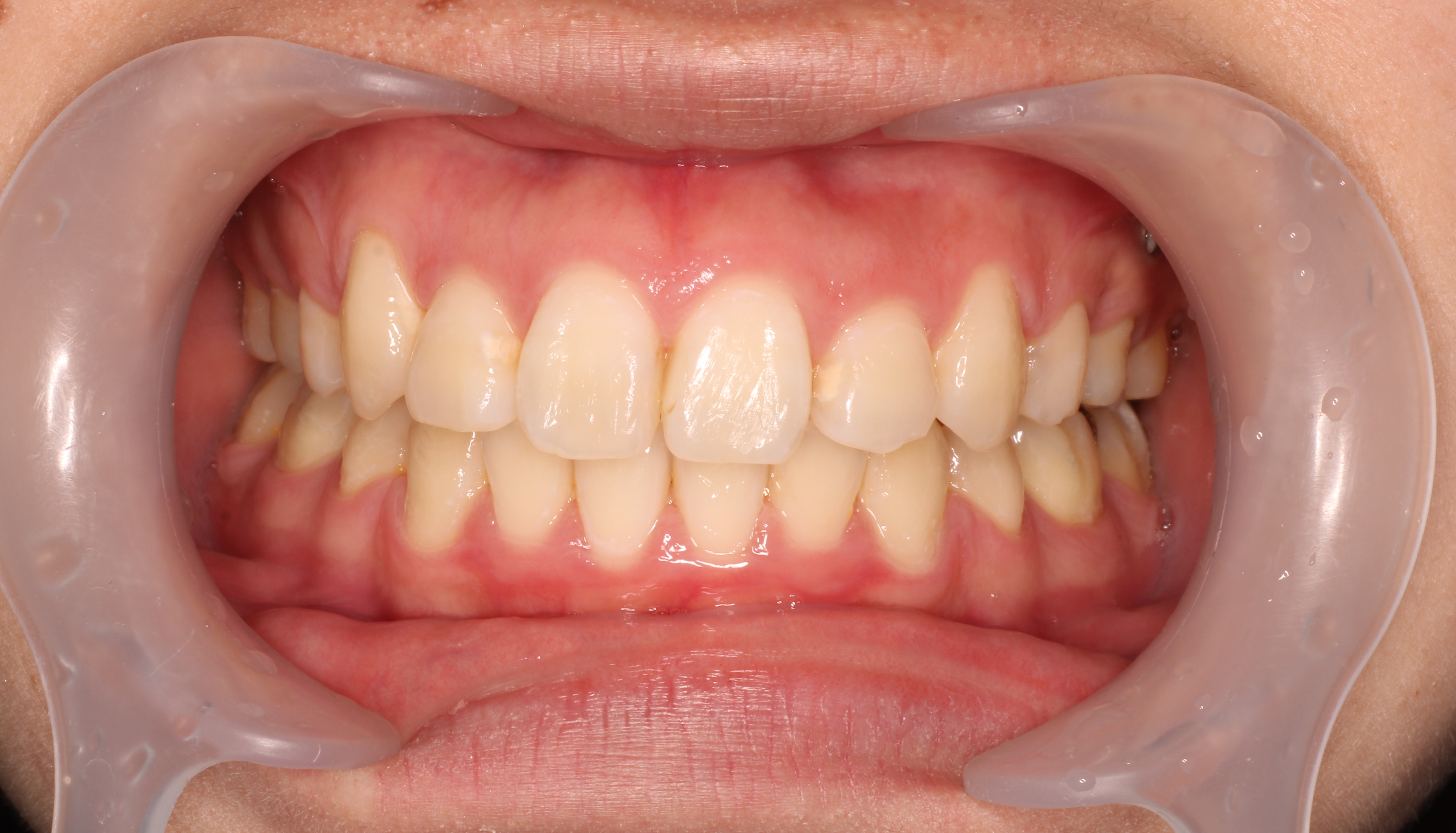
1矯正・マウスピース【治療例2】

治療前
治療後

1矯正・マウスピース【治療例3】

治療前
治療後

1矯正・マウスピース【治療例4】

治療前
治療後

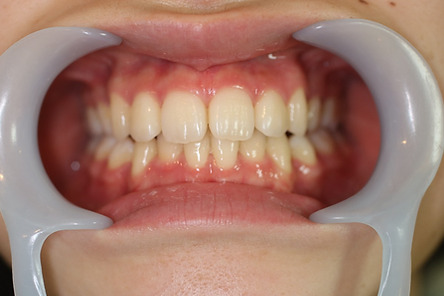
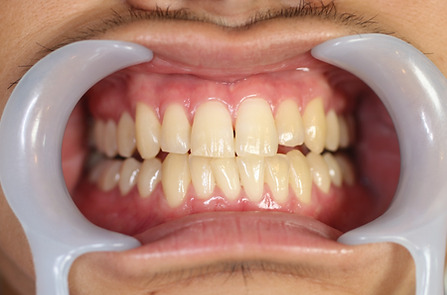
1矯正・マウスピース【治療例5】

治療前
治療後

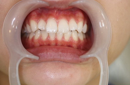
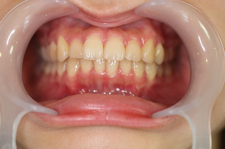
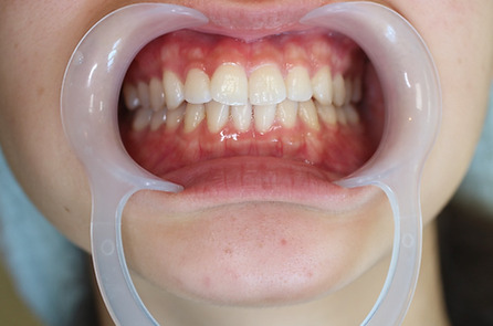
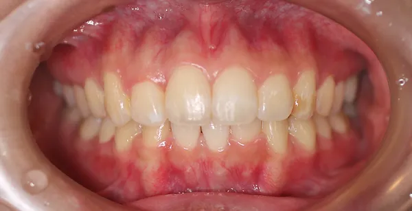
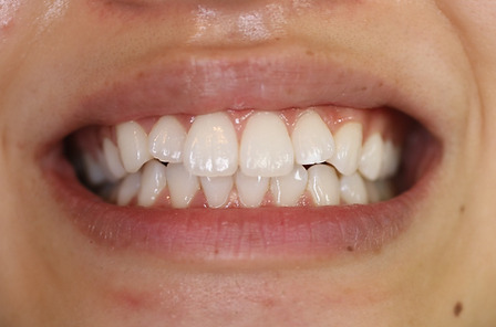
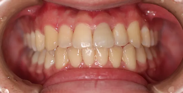
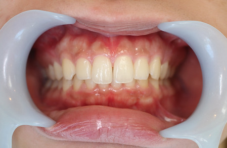
2ホワイトニング【治療例1】

治療前
治療後

2ホワイトニング【治療例2】

治療前
治療後

2ホワイトニング【治療例3】

治療前
治療後

2ホワイトニング【治療例4】

治療前
治療後

2ホワイトニング【治療例5】

治療前
治療後

2ホワイトニング【治療例6】

治療前
治療後

2ホワイトニング【治療例7】

治療前
治療後

2ホワイトニング【治療例8】

治療前
治療後

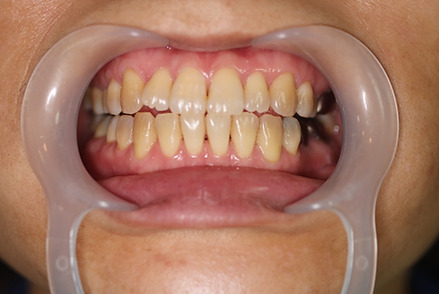
2ホワイトニング【治療例9】

治療前
治療後

2ホワイトニング【治療例10】

治療前
治療後

2ホワイトニング【治療例11】

治療前
治療後

2ホワイトニング【治療例12】

治療前
治療後

2ホワイトニング【治療例13】

治療前
治療後

2ホワイトニング【治療例14】

治療前
治療後

2ホワイトニング【治療例15】

治療前
治療後

2ホワイトニング【治療例16】

治療前
治療後

2ホワイトニング【治療例17】

治療前
治療後

2ホワイトニング【治療例18】

治療前
治療後

2ホワイトニング【治療例19】

治療前
治療後

2ホワイトニング【治療例20】

治療前
治療後

3虫歯/被せもの【虫歯の治療例1】

治療前
治療後

3虫歯/被せもの【虫歯の治療例2】

治療前
治療後

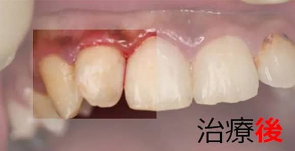
3虫歯/被せもの【虫歯の治療例3】

治療前
治療後

治療後

​患者様の希望で被せずに詰め物だけで治しました。

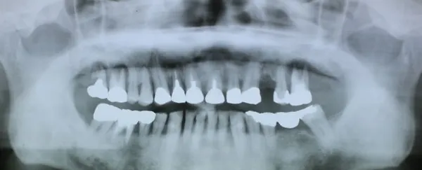
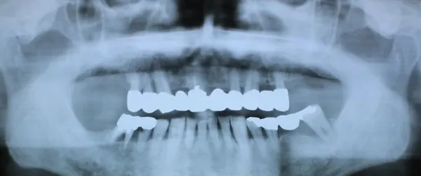
6入れ歯にしないブリッジ治療【ケース1】

H20.6.2のレントゲン
歯槽膿漏の為、上の6本の歯を抜き、上の右端から左端まで繋げたブリッジを作りました。
H31.1.25のレントゲン
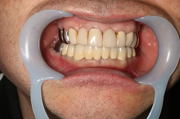
H21.2.21に上の歯(ブリッジ)が完成しました。
左の写真は10年ちょっと経過したH31.1.25日に撮影した写真で、経過良好と思われます。
下顎も虫歯と歯槽膿漏のため長く持たせるために左下奥歯の一本を抜歯し残りを繋げて作りました。

6入れ歯にしないブリッジ治療【ケース2】

H14.12.25のレントゲン
上の歯13本のうち、治療不可能な歯を3本抜き右端から左端までつなげたブリッジを作りました。
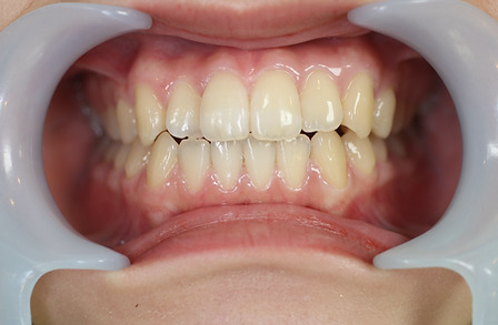
H16.1.16に上の歯(ブリッジ)が完成しました。
上の写真は15年以上経過した令和1年11月6日に撮影した写真で経過良好と思われます。

6入れ歯にしないブリッジ治療【ケース3】

このケースの患者さんは上の歯の歯槽膿漏が心配で来院されました。上の歯は11本残っており、下の写真の緑色に囲われた歯を1本抜歯して、計10本の歯を使って端から端まで繋げる治療を行いました。H22.5月に治療が始まり、H23.1月に完成しました。
H22.5のレントゲン
H31.2月には下の写真の青色に囲われた歯が根の先の病気でダメになり抜歯をすることになりましたが、歯の見えている部分はそのままで根だけを切って抜歯しました。そのため1本歯が少なくなり、9本で端から端まで繋がっています。
H31.2のレントゲン
下のレントゲン写真はR3.12月に撮影した写真ですが、赤丸の歯槽膿漏の歯は1枚目のH22.5月の頃からほとんど変化しておらず、13年経っても大丈夫です。全部の歯が繋がっていて、1本1本の歯の動きがないため、長く維持できています。
R3.12のレントゲン
以下の写真はR4.9月に撮影した写真です。
2022年現在72歳の女性の方です。
治療が終了してから13年経過していますが、今も大丈夫です。

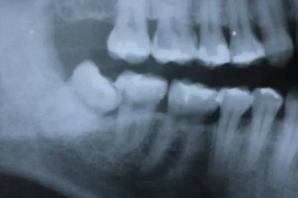
7親知らず

Case7
Case8
Case9
Case10
Case11
Case12
Case13
Case14
Case15
Case16
Case15
Case16
Case15
Case16
Case17
Case18

8あごの痛み/歯ぎしり【根の治療】

治療前
治療後