診療案内Medical information

1矯正・マウスピース矯正ORTHODONTICS

最近、審美に気を配られる方が多く、きれいな歯並びにしたいという方が増えています。
マウスピース矯正が行われるようになり、治療中の見た目も目立たなくなり、多くの方が矯正治療を望んでいます。宮間歯科では、こうした希望にこたえ、できるだけ多くの方に矯正治療を行っていただけるように治療費を抑えています。相談だけでも構いません。ぜひ一度相談にご来院ください。大学病院の若い実力のある優しい矯正医が対応いたします。相談でこの先生に任せられるか見極めるのも大切です。
一番多く使われている矯正治療方法は、マウスピース矯正です。しかし、歴史が浅く、適用できないケースがあるので十分な診断と相談が必要です。従来のワイヤーによる矯正治療、歯の裏側にワイヤーを付け治療する舌側ワイヤー治療も対応しています。

小児の矯正治療は、歯を抜かなくてもよい矯正治療です。小児の矯正治療だけできれいな歯並びになり、大人の矯正治療がいらないことも多いです。
詳しくはこちら 治療例はこちら

術前術後BEFORE AFTER

術前
術前

2ホワイトニング
WHITENING

歯の表面に薬を作用させて白い歯にします。
歯の神経を取っていない歯に行います。
詳しくはこちら 治療例はこちら

3虫歯/白い被せもの
DENTAL

当院ではなるべく歯は削らない、抜かないという治療を心がけております。虫歯は小さければ白いプラスチックで埋めます。
歯と歯の間が虫歯になった場合は白いプラスチック・金属の詰め物を選択していただきます。虫歯が大きいと、被せものをします。ほとんどの歯に白い被せものを保険で入れることが可能になりました。奥歯の一部で保険で銀色の金属しか入らないところがあります。
詳しくはこちら 治療例はこちら

4小児歯科
CHILD

子どもの歯は大人の歯よりも弱く、むし歯の進行も早いことが特徴です。乳歯のむし歯を放っておくと、永久歯もむし歯になる・まっすぐ生えてこないなど、将来的にも悪影響を及ぼします。当院ではお子さんのフッ素塗布も実施しております。子供の永久歯は見た目は立派でも柔らかいため虫歯が進行しやしやすい特徴があります。定期的なフッ素塗布を行い強い歯にする必要があります。
詳しくはこちら

5入れ歯治療
DENTURES

長年の経験を活かし、保険でよく噛める入れ歯を提供いたします。ばねの見えない保険以外の入れ歯も用意しています。
詳しくはこちら

6入れ歯にしないブリッジ治療
BRIDGE

ブリッジ治療とは、 歯を失ってしまった部位の咀嚼機能を回復させる方法の一つです。
歯を失ってしまった部位の両隣の歯を支台として橋(ブリッジ)を架けるような構造物を製作・装着することで失った噛み合わせを補うことが出来ます。
詳しくはこちら 治療例はこちら

7親知らず
WISDOM TEETH

親知らずが生えていることが分かっている方は、一度歯科医院に行ってそのままにしておいてよいか診てもらいましょう。
詳しくはこちら 治療例はこちら

8あごの痛み/歯ぎしり
BRUXISM

歯ぎしりがひどくなると歯が削れてしまいます。
また、歯ぎしりで顎をいつも動かしていると顎関節症になる可能性もあります。
前歯がすり減っている方、歯ぎしりを指摘されたり、自覚症状のある方は一度ご相談ください。
詳しくはこちら 治療例はこちら

9予防歯科
PREVENTION

予防歯科とは、虫歯により痛みが出たり、歯茎が弱ってきてから治療を行うのではなく、定期的な歯周治療により歯周病の進行を防ぎ、痛み出ていない初期のうちに虫歯を治療します。
詳しくはこちら

10スポーツガード
SPORTSGUARD

スポーツをしている時に歯を折ったり、痛めたりしないようにスポーツガードで歯を守りましょう。
無色透明や、カラフルなものもあります。
ラグビー、アメリカンフットボール、野球、バスケットボール、空手、レスリング、ボクシング、バレーボールなど
詳しくはこちら

11インプラント
IMPLANT

インプラント治療とは永久歯を失った箇所に金属製の歯根を埋め込み、その上に人工の歯を装着する治療法です。インプラントは審美性に優れており、咀嚼力が高く、ブリッジや入れ歯に比べ、他の歯に負担をかけずに歯を再建することができる治療法です。

12歯槽膿漏
ALVEOLAR PYORRHEA

歯槽膿漏とは、『歯周病』の最も症状が進んだ状態を言います。歯ぐきが腫れたり、血や膿が出てしまう、ひどい口臭がする等の症状だけでなく、炎症が広がってしまうと歯ぐきの内側の歯を支える骨が溶け始め破壊されていき、最終的には歯が抜け落ちてしまうこともあります。気になる症状がでたら、すぐに当院へ受診してください。

13保険でキレイな白い歯に!

現在、保険でかなりの歯を白く被せることができます。せっかくの保険制度なので、保険でキレイな歯にしましょう。現在の保険制度では、さらに奥まで白くできます。詳しくはお問い合わせください。

1  矯正・マウスピース治療についてのご案内ORTHODONTICS

歯並びで気になる所があったら、
まずは無料相談を!

当医院の矯正治療は大学病院の矯正科の専門医の治療です。
BEFORE

BEFORE

BEFORE

AFTER

AFTER

AFTER

​矯正治療の種類

ワイヤー矯正
マウスピース矯正
舌側ワイヤー矯正
適応
見た目
歯ブラシ
費用
最近、一番多く使われている方法は、マウスピース矯正です。
利点は、

・矯正治療をしているのが分からない
・食事の時、装置を外して食事ができる
・歯ブラシの時、外して歯ブラシができる

です。
しかし、歴史が浅く、適用できないケースがあるので十分な診断と相談が必要です。
舌側ワイヤー矯正は、見た目は一番良いですが他の事に関してはすべて劣りますので、特別なケースで使用されます。
一般的な矯正
ワイヤー矯正
マウスピース矯正
インビザライン
舌側ワイヤー矯正
適用
全ての矯正に適用
適用できないケースがある
特別なケースのみ
期間
2年前後
2年前後
3~4年前後
違和感
ワイヤーとブラケットが唇などにさわるので違和感はあるが慣れる
薄いマウスピースなので違和感は少ない
ワイヤーとブラケットがつねに舌にさわり違和感が大きい
見た目
ワイヤーと白いブラケットが見える
薄い透明なマウスピースのため目立たない
歯の裏側につけるので装置はなにも見えない
痛み
来院後1週間くらいはやや痛い
痛みは出づらい
来院後1週間くらいはやや痛い
歯の清掃
装置が外せないので歯ブラシ困難
外して歯ブラシを行えるので非常によくできる
ワイヤー矯正よりさらに困難
食事
装置が外れることがあり多少の食事制限
外して食事が普通にとれる
ワイヤー矯正よりさらに気を付ける
口内炎
できやすい方はできる可能性が高い
できづらい
可能性高い
金属アレルギー
可能性有
起こらない
可能性有
治療費
上下セット
55万円(税抜)
上下セット
70万円(税抜)
上下セット
100万円(税抜)
チェック料
治療のたびに5000円(税抜)がかかります
右にスクロール

成人矯正

上記の矯正治療の中から患者様に合った治療法をご提案致します。
永久歯が生え揃った後の治療になるので中学生位から60歳前後の患者様が対象です。

小児矯正(350,000円)

乳歯がまだ残っていて生え変わりの途中の時期の治療になります。
小児期の矯正には大きな意味があり、あごの成長を促進・抑制したりできるので、歯を抜かずにきれいな歯並びにすることが可能です。
小児矯正の経過・結果が大変良い場合は小児矯正だけで終わる場合も多いです。
成人矯正とは違い、ワイヤーを使わずに取り外しの入れ歯のような装置を使い治療することができます。

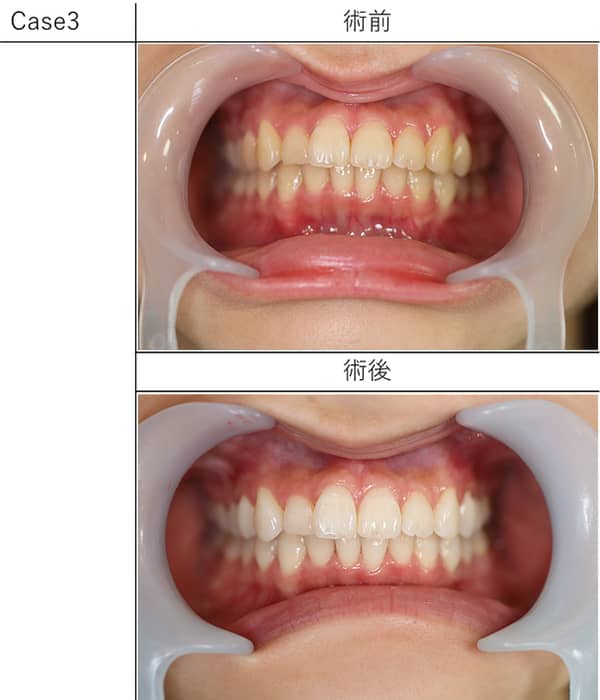
2ホワイトニング治療についてのご案内WHITENING

​ホワイトニング 35,000円

歯の表面に薬を作用させて白い歯にします。
歯の神経を取っていない歯に行います。
個人差があるため十分に白くならない方もいますが、かなりの効果が出ていると思います。
歯の色が黄色に近い方は白くなる可能性が高いです。
歯の色がグレーに近い方は白くなりづらい傾向があります。
歯に模様がある方はかえって模様が目立ってしまうため施術を行えないケースが多いです。
Case1
Case2
Case3

3虫歯・白い被せものについてのご案内DENTAL

​虫歯

虫歯で痛みを感じる時はかなり進行していて、歯の神経をとる根の治療をしなくてはならない場合が多いです。
ですから、痛くなくても虫歯があると思ったら早めの治療を行ってください。

歯周病

歯周病と歯槽膿漏は同じ意味です。
大丈夫と思っていても、かなり進行していたというケースは少なくありません。
歯周病は早期発見、早期治療が重要です。

4小児歯科治療についてのご案内CHILD

嫌がるお子さまに無理やり治療はしません

私どもは、お子さまが歯科治療を嫌いになることがないよう、納得いただいてから治療を始めます。(ただし緊急性が高い場合はやむをえず治療することもあります。)
「歯医者さんは楽しい所」「やさしい歯の治療なら大丈夫」と思えるような、お子さまの心と体を考慮した寄り添った治療を心掛けています。
まずお子さまに治療器具を見てもらい、触ってもらいます。
そしてその器具でどのように治療するのか説明し、理解してもらった上での治療開始します。
時には、お子さまに何度も通院していただいて歯科治療のトレーニングを受けてもらい、自分から治療を受ける気持ちになれるよう向き合っています。
最初は泣いて診療台にも乗れなかったお子さまが、診療台に乗れ、お口の中を見せてくれ、歯ブラシを使えるようになり、最終的には歯を削る治療や詰め物をする治療が受けられるようになります。

5入れ歯治療についてのご案内DENTURES

保険の入れ歯

当医院の保険の総入れ歯は、落ちない、外れない、と評判の良い入れ歯です。お困りの方は、一度ご相談ください。

目立たない入れ歯​

従来の入れ歯

従来の入れ歯

従来の入れ歯

スマイルデンチャー

スマイルデンチャー

スマイルデンチャー

スマイルデンチャー
今までの入れ歯は、銀色のバネを歯にかけて固定していましたが、バネの代わりにピンクのプラスチックで固定するので歯ぐきと見分けづらくなりました。
保険外の診療となりますので、費用についてはご相談ください。

6入れ歯にしないブリッジ治療についてのご案内BRIDGE

当院でしかできない治療

当院では、歯がぐらつき歯槽膿漏が心配な方、入れ歯になるのではと心配な方に、すべての歯を削って端から端まで冠を被せて繋げる治療を行なっています。全ての歯を削って被せるので、表面は作り物の人工歯になりますが、繋げることにより、1本1本の歯の動きがなくなり、しっかりと噛むことができるようになります。
端から端まで冠でつなげた歯
10年以上保つ場合がほとんどであり、長期間使用していただけます。100件以上の治療を行い、多くの人に喜ばれています。保険治療でできる場合も多くありますが、歯槽膿漏が進むとできないケースもありますので、興味のある方はぜひご相談ください。
この治療法は当院だけではなく、他の歯科医院でもできることではありますが、手間と精密さが必要なため、保険治療で行ってくれる歯科医院はほとんどありません。当院ではできる限り保険での治療を行います。お気軽にご相談ください。

ブリッジ治療とは

ブリッジ治療とは、 歯を失ってしまった部位の咀嚼機能を回復させる方法の一つです。
歯を失ってしまった部位の両隣の歯を支台として橋(ブリッジ)を架けるような構造物を製作・装着することで失った噛み合わせを補うことが出来ます。

ブリッジ治療のメリット

噛めるようになるまでが早い

ブリッジ治療はインプラントに比べて噛めるようになるまでの期間が短くて済みます。

天然歯と同じくらい噛める

入れ歯は天然の歯と比べると咀嚼能力が劣りますが、ブリッジ治療は天然の歯に近い状態まで咀嚼能力を回復させることができます。

入れ歯のように着脱する面倒がない

入れ歯は毎日取り外してお手入れをする必要がありますが、ブリッジは着脱してお手入れをする面倒がありません。

保険診療でも可能

インプラントは完全に保険外診療となりますが、ブリッジ治療は保険の範囲内でも行うことが可能です。
ただし、保険診療では使用できる材料に制限があり、「歯科鋳造用12%金銀パラジウム合金」を使った治療となります。
金属アレルギーの心配のないジルコニアなどのセラミック材料を使用する場合は、保険適応外の治療となります。

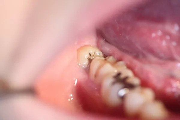
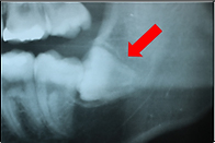
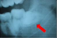
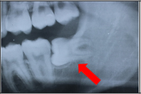
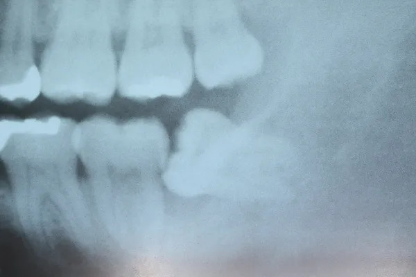
7親知らず治療についてのご案内WISDOM TEETH

親知らずが生えていることが分かっている方は、一度歯科医院に行ってそのままにしておいてよいか診てもらいましょう。
下の写真は、親知らずが横向きに生えていて隙間があります。
下の写真は、その隙間に食べかすが入ってしまっています。
この隙間は下の方が深歯ブラシが届かず、このままでは親知らずと手前の歯が2本とも虫歯になってしまうので抜いたほうが良いケースです。

​抜歯ケース

抜歯ケース

抜歯ケース

2021/6
抜歯ケース

抜歯ケース

2021/5
抜歯ケース

抜歯ケース

2021/5
抜歯ケース

抜歯ケース

2021/4
抜歯ケース

抜歯ケース

2021/9
抜歯ケース

抜歯ケース

2021/9

8あごの痛み/歯ぎしり治療についてのご案内BRUXISM

​歯ぎしり顎関節症のマウスピース​

歯ぎしりがひどくなると、下の写真のように歯が削れてしまいます。
また、歯ぎしりで顎をいつも動かしていると顎関節症になる可能性もあります。
前歯がすり減っている方、歯ぎしりを指摘されたり、自覚症状のある方は一度ご相談ください。
一般的な治療は、就寝時にマウスピースをはめる治療になります。
​歯ぎしり顎関節症のマウスピース​
歯がすり減ることによって、歯の長さが短くなっています。
ナイトガードは歯の摩耗を防ぎます。
ただし、きちんと毎晩使わなくては効果はありません。

顎関節症について

  • 口を大きく開けられない
  • 大きく開けると顎が痛い
  • 噛むと痛くて食事ができない
  • 口を開けたり閉めたりするときにカクンとなったりギシギシ音がする
これらの症状は顎関節症かもしれません。
症状のある方は一度ご相談ください。

9予防歯科治療についてのご案内PREVENTION

虫歯はかなり進行してから痛みを感じることが多く、痛みを感じたときは神経をとる治療が必要なことがほとんどです。
歯の神経には血管も通っており、神経をとると血液が来なくなって歯の質が弱くなり、色も変わって暗い感じになってしまいます。
できるだけ神経をとらずに済むことが大切です。
予防のために半年に一度の定期検診をおすすめします。
歯槽膿漏(歯周病)は知らない間に進行していることが多く、症状は改善できても、もとの状態に戻すのはほぼ不可能になります。
今のご自身の歯茎の状態を把握することが
重要です。予防のためにも半年に一度の定期検診をおすすめします。

フッ素の虫歯予防

歯の生え変わり直後は歯の表面が未完成で、虫歯にもなりやすいです。
その反面、フッ素の薬も効きやすい状態です。
中学生くらいまではフッ素による虫歯予防がおすすめです。

シーラントの虫歯予防

シーラントとは、奥歯の溝を削らずプラスチックを詰めてなくし、汚れがたまらないようにする虫歯予防です。
大きい奥歯に特におすすめの予防治療です。

虫歯予防のための種々の施術

当院では、「虫歯を治療する」のではなく、「虫歯を作らせない」ようにする予防歯科に力を入れています。お子さまのうちから虫歯になりにくいお口の環境を整えておくと、成人後も虫歯や歯周病にかかりにくくなるからです。
大切なお子さまの将来を考えて、今のうちからしっかりと虫歯や歯周病を予防していきましょう。
予防歯科では、以下のような施術をご提供しています。

フッ素塗布

歯を強くして虫歯にかかりにくくする効果のある「フッ素」というお薬を歯の表面に塗ります。

シーラント

虫歯にかかりやすい奥歯の噛み合わせの溝に、医療用プラスチックを埋め込んで虫歯を予防します。

歯磨き方法のレクチャー

お子さまと保護者の方がご自宅で簡単にできる歯磨き方法のアドバイスを行います。
お子さまの食事やおやつの食べ方に関するポイントをお教えします。

歯並び予防

お子さまのお口は、乳歯から永久歯に生え変わる大切な時期です。継続的にお子さまの歯やお口を管理し、永久歯の歯並びが悪くならないようにチェックいたします。

生活習慣の指導

10スポーツガード治療についてのご案内SPORTS GUARD

スポーツをしている時に歯を折ったり、痛めたりしないようにスポーツガードで歯を守りましょう。
無色透明や、カラフルなものもあります。
ラグビー、アメリカンフットボール、野球、バスケットボール、空手、レスリング、ボクシング、バレーボールなど
スポーツガード​
スポーツガード​
スポーツガード​
スポーツガード​